临床病理研究
不朽情缘mg官网临床病理室为隶属于病理研究部的GLP医学检验实验室;实验室主要负责检测多种动物生物化学、血液学、凝血、尿液分析、尿液沉渣镜检、淋巴细胞分型、体外溶血、骨髓涂片镜检以及动物体检等项目,为动物试验提供准确科学的检验依据。
2018年起实验室参加了上海市临床检验中心的室间质评,并连续四年所有项目全部合格,取得上海市临检中心颁发的证书。
文档下载
临床病理室拥有多台行业内先进的检测仪器设备,可为客户提供丰富的检测项目,多种动物种属的血液体液等样本检测分析服务,为客户提供全面的安全性评价数据支持。
不朽情缘mg官网临床病理实验室临床病理学是通过检查血液、组织和体液标本来研究动物机体疾病的一门学科。
不朽情缘mg官网的临床病理实验室现有多台大型分析设备,包括全自动生化分析仪、全自动血液分析仪流水线、全自动凝血分析仪、全自动尿液分析仪,以及流式细胞分析仪等。仪器设备性能稳定,检测速度快,检测结果准确可靠。
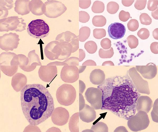
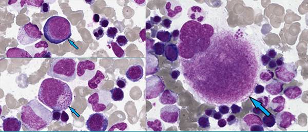
另外,实验室同时开展了多项细胞形态学检验项目,如血细胞形态学检验、尿液沉渣细胞形态学检验、以及骨髓细胞形态学检验等。
临床病理实验室的检测服务不朽情缘mg官网临床病理室可以完成包括生化分析,血液学分析,凝血分析,尿液分析,免疫分析,尿沉渣镜检,细胞形态学检测等服务,以及特殊的生化分析项目。
特殊生化分析项目:
超敏C-反应蛋白(hs-CRP)免疫球蛋白A(IgA)免疫球蛋白G(IgG)免疫球蛋白M(IgM)补体C3补体C4
总血红蛋白(THb)糖化血红蛋白(HbAlc)糖化血红蛋白百分比(HbAlc%)
尿酸(UA)
α-淀粉酶(AMY)脂肪酶(LPS)
高密度脂蛋白胆固醇(HDL-C)低密度脂蛋白胆固醇(LDL-C)
临床病理实验室已经连续多年参加上海市临床检验中心的能力验证与室间质评计划,所有项目均顺利通过,并获得上海市临床检验中心颁发的证书。


血液学分析
血细胞分析是血液学检验的一个重要检测项目,为提高检测效率,实验室使用血液分析仪流水线来进行检测。所使用的SYSMEX XN-2000v全自动血液分析仪采用流式细胞结合激光技术、电阻抗法分析方法,检测结果准确可靠。
检测项目:CBC、DIFF、RET 具备4根通道拥有34项精确度检测参数,具有PLT-F通道、L-WBC低值白细胞检测模式、大大提高样品检测结果的准确性。该仪器可以检测27种动物(19个物种,8个亚种),完全覆盖实验所需的种属,另外可根据项目需求定制分析模板进行特殊动物种属样品分析。全自动血液分析仪在双机运行的情况工作效率可达到每小时分析将近100个样本,有效节约时间、人工成本。还可支持自动上样、手动上样模式、具有全血模式、微量血模式,使用微量血模式可大大节约动物血液样品进行分析。

凝血分析
凝血功能是血液由液体状态转变为凝胶状态的过程,此过程是由一系列凝血因子参加的、复杂的酶促反应和分子聚合过程。全自动凝血分析仪主要用于测量实验动物血浆止血与血栓分子标志物的检测,这些指标与实验动物各种疾患有着密切联系,如动脉粥样硬化,心脑血管疾病、糖尿病、动静脉血栓形成等。
临床病理实验室所使用的SYSMEX CS-5100全自动凝血分析仪,是目前市面上较为出色的高速分析系统,更是可靠溯源的完整配套检测系统。
检测项目:凝血酶原时间、活化部分凝血活酶时间、纤维蛋白原、凝血酶时间。拥有四种检测方法,多波长检测系统;试剂智能管理;条码自动识别等功能。

尿液分析
尿液常规分析是三大常规检验中的一项,作为排泄物检查,尿液分析结果可反映机体的代谢状况,是很多疾病诊断的重要指标,也是肾脏或尿路疾病的征兆。不少肾脏病变早期就可以出现蛋白尿或者尿沉渣中出现有形成分。
检测项目:尿的颜色、外观、酸碱度、葡萄糖、胆红素、酮体、比重、蛋白质、隐血、尿胆原、亚硝酸盐和白细胞。采用自动的定量点式方式加样,避免污染,反射型折射率测定比重,透射型测吸光度检测颜色、外观,检测结果更准确可靠。
免疫分析
免疫分析是利用抗原与抗体在体外特异性结合,再利用流式细胞仪来检测、分析所需物质的方法。运用流式细胞术进行淋巴细胞亚群分析是药物安全性评价研究重要的检测项目。临床病理实验室流式细胞仪主要用于检测动物血细胞的淋巴细胞表型分析。通过分析各个免疫细胞群的数量和功能,反映出机体免疫系统的变化。


BD FACSLyric 流式细胞仪配置3激光12色,可以带来更高效检测速率和更灵活的配色方案,更具效率与智能化性的自动进样系统,可选择试管架或96孔板进行连续进样和数据采集,可达到35000events/sec更精准的光路自我调节,FACSLyric具有60天一次的荧光补偿值的更新功能。更先进的操作界面,可实时监测每一个样本的检测状态和检测指标。
检测项目:T淋巴细胞、B淋巴细胞、NK细胞等

生化分析
临床生化指标主要用来检测碳水化合物、脂类、蛋白质、尿液、肝胆、心血管、肌肉、胃肠道系统的代谢。这些检测指标在药物临床前研究中反映了对动物机体总的代谢、营养和健康状态的影响。
全自动生化分析仪采用?榛⑿泄ぷ,可快速完成检测并报告数据;有更稳定的Na, K, CI电极系统,独立电极,使样本检测更加精准;仪器内置恒温液循环的干式孵育系统使温控更准确、稳定,保证检测数据的精确性。4000光度法测试/小时,900电解质测试/小时(离子选择电极法),可同时进行 120个分析项目。增加独立重测轨道,双进样系统全面满足需要,更方便,更灵活,更安全。
检测项目:肝肾功能,心肌功能,血糖血脂,电解质等
形态学检测
临床病理的显微镜主要用于:
粪便寄生虫检查

体外溶血试验显微镜观察细胞凝集现象

外周血涂片细胞形态分类

骨髓涂片的细胞形态分类

为SD提供动物寄生虫体检筛查、部分体外溶血实验确认、血液细胞分析仪镜检复核及各种属动物骨髓有核细胞增生程度及毒性变化提供参考。
相关实验室
相关文章